Reise in mein Gehirn

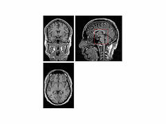
Wer kennt das nicht? Ein neuer Computer ist schön. Wie aber kriege ich die Daten von meinem alten Arbeitspferd auf die neue Maschine? Damit man nicht auch noch mit altem Datenmüll in neue Computergefilde umzieht, ist also das große Reinemachen angesagt. Und dabei kommt so manches zutage, was längst vergessen war. Genau das ist mir mit diesen Bildern meines Gehirns passiert. Die sind 1999 anlässlich meiner Dokumentation „Pille gegen die Sucht“ entstanden. Damals wollte keiner vom Team in den Kernspintomographen. Weil ich aber eine Darstellung des menschlichen Suchtzentrums im Gehirn benötigte, musste ich wohl oder übel selbst ran. Stellt sich natürlich sofort die Frage, was denn da so drin ist, in meinem Hirn? Neugierig? Dann folgt mal dem Link

